014: Brain Scans
Some visuals from a neuroscience study.
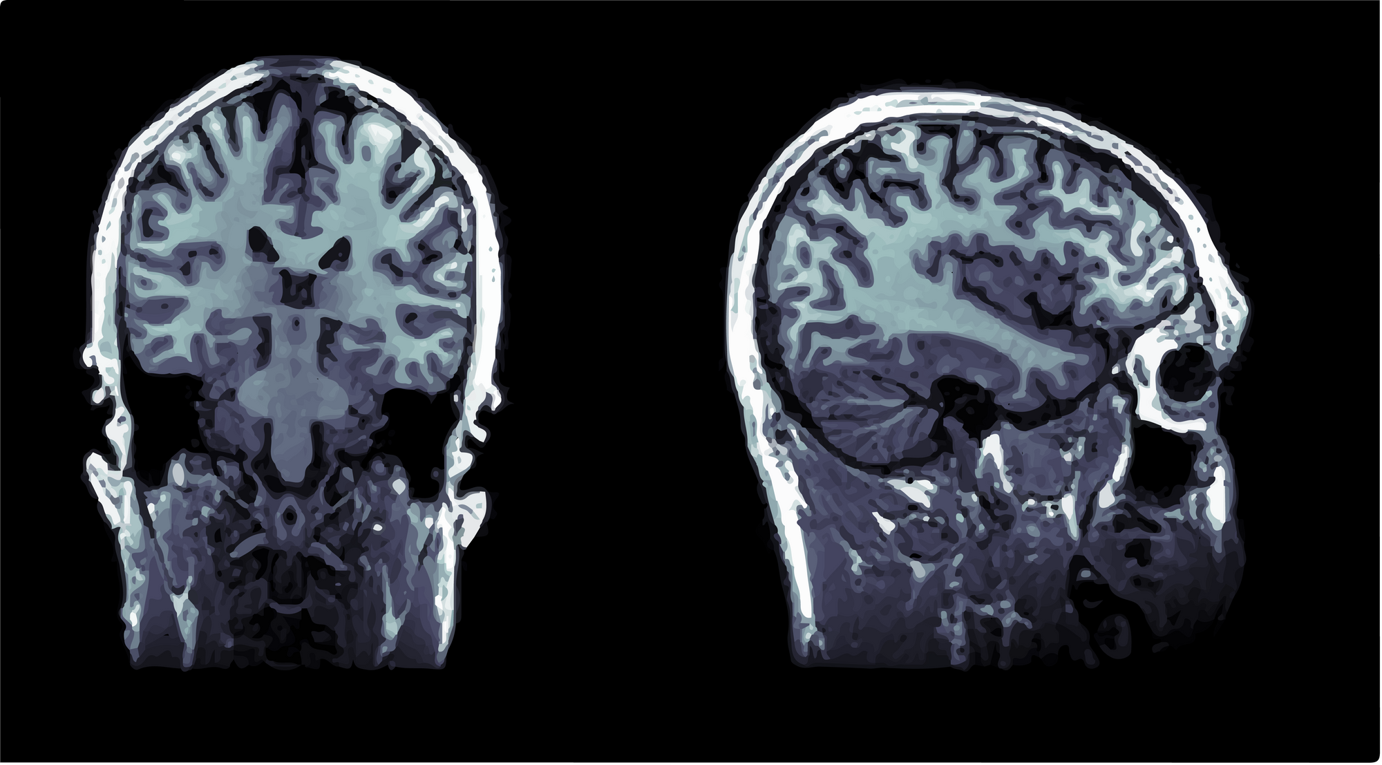
My friend sent in some images of his brain.
These are from a neuroscience research study.
They are T1-weighted structural images of his head 😳.



Beautiful and bizarre.




This was for academic research only (he's fine).
Related :009: Thinking Fast + SlowThe definitive user manual for your brain.
078: Mind PalaceThe “Method of Loci” (Memory Palace).
045: Different ScalesWhat are the smallest / largest things?
093: Paleolithic EmotionsA simple (powerful) paradox.
027: Life is a JumbleThe story we tell is the one we believe.